上準科技股份有限公司最新消息 news關於上準 about us產品介紹 product下載專區 download相關連結 link連絡我們 contact us
GE Ultrasound

Your needs shape the future of ultrasound. It's your feedback that drives every technological advancement that has made GE Healthcare is a leader in women's health ultrasound.

Voluson E22 It’s more than you ever thought possible. And in your hands, there’s endless potential.

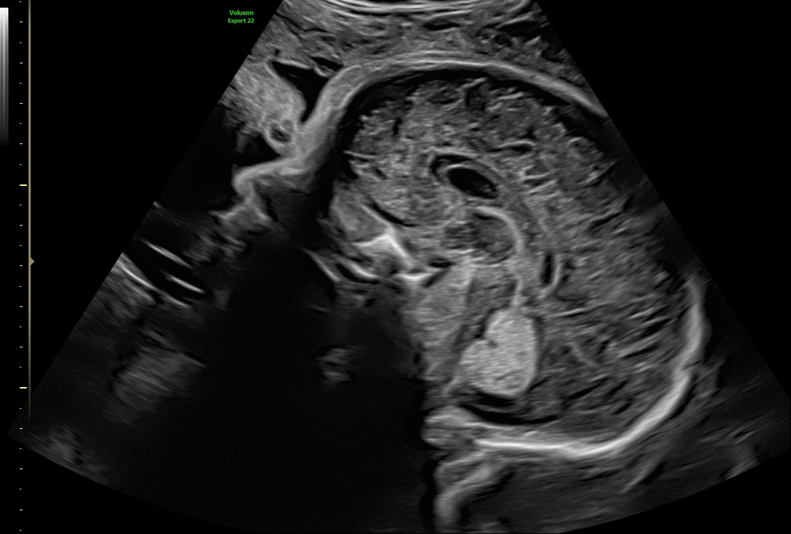
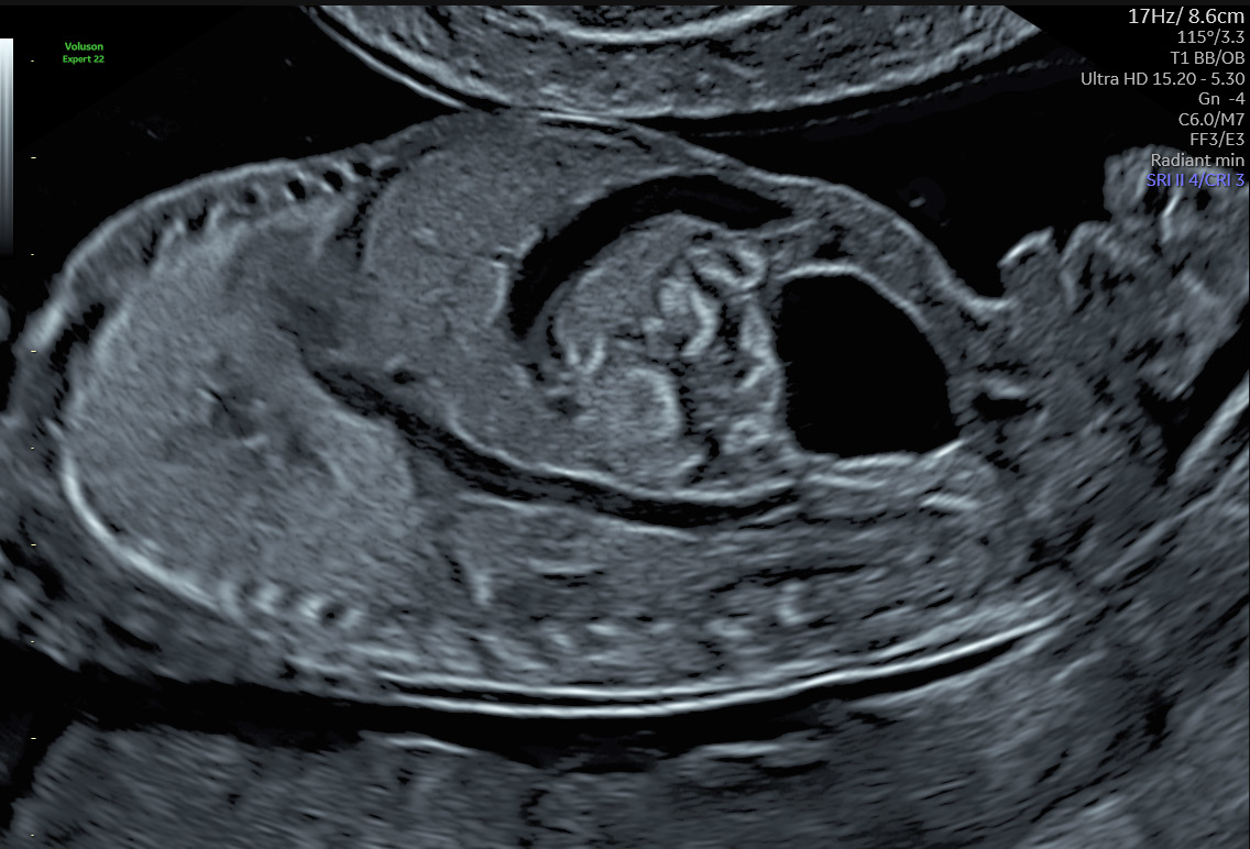
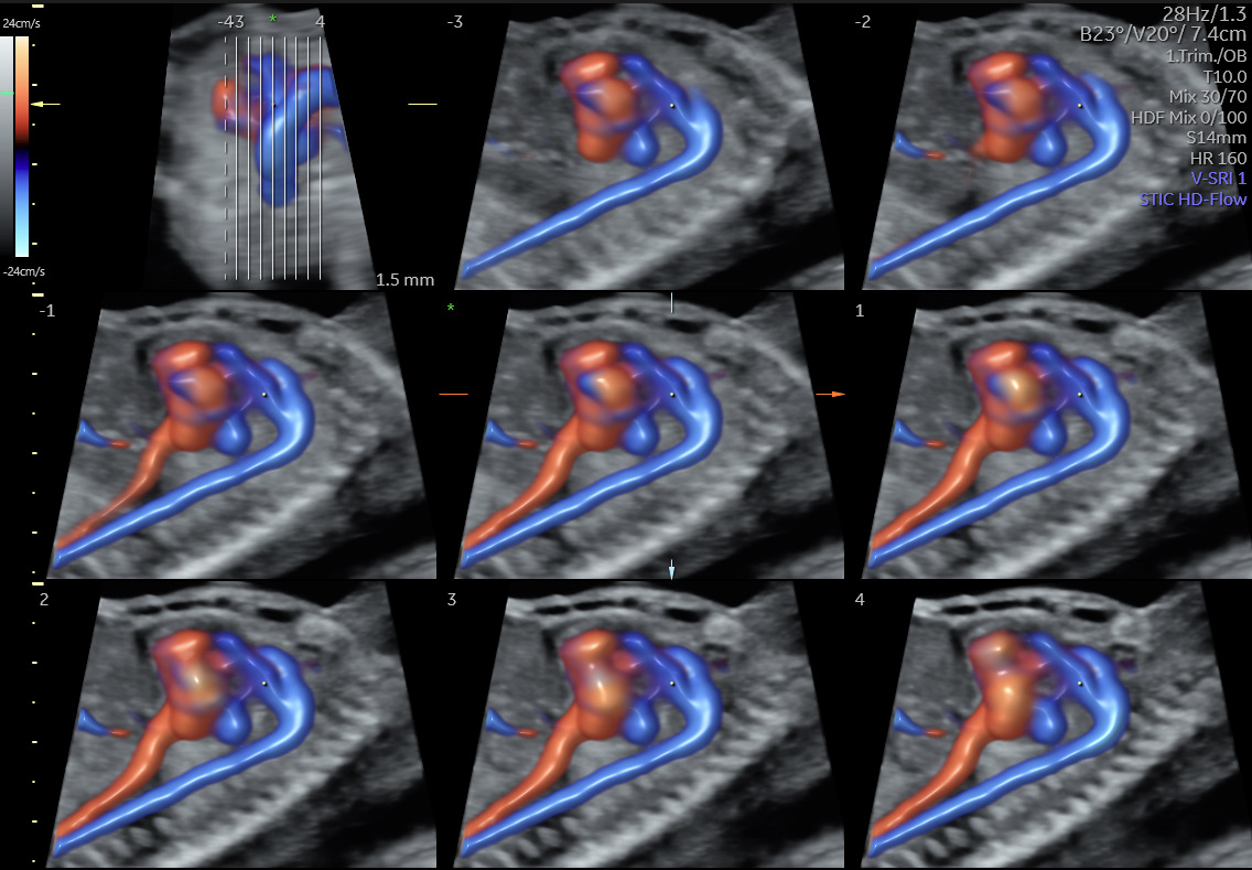
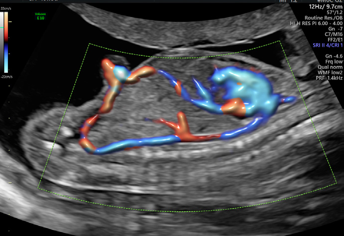
 為滿足追求極致影像的臨床需求,全新Voluson E22 提供更精密2D影像處理、血管造影優化科技 、3D/4D成像等高階優化科技,並且在胎兒心臟功能診斷上能提供新世代智能輔助科技。(1) 更高的音波系統通道處理技術,(2)增加低雜訊高穿透力掃描模式(Augment),(3)超高解析掃描模式(Ultra HD),(4)組織3D化表現(Radiant),(5)超擬真立體造影技術(HDlive Studio+),(6)預定義和優化的彩色和脈衝程像設置等.

 

E10 The latest in our Expert Series, the VolusonTM E10 ultrasound system is designed for the advanced women’s health practice.Where you resolve difficult diagnostic questions on a daily basis. Where patients come to you for confident answers.

E8 The Voluson E8 advanced imaging platform takes women's health ultrasound to greater heights with it's advancements in image quality, automation, probe technology and image analysis.Let us show you how you can use to help improve patient care.

 

   [ 1 ] 2